Patients travel from all corners of the planet to receive this state-of-the-art treatment from Dr. Yousefian, which he coins DAME™ (Distraction Assisted Mandibular Expansion). This proprietary treatment allows Dr. Yousefian to expand the upper jaw with his highly controlled and effective technique, DANE™ (Distraction Assisted Nasomaxillary Expansion), an additional 6 mm compared to traditional 2-4mm of total net expansion when doing MSE/MARPE alone, resulting in 10 mm of net upper and lower jaw expansion.

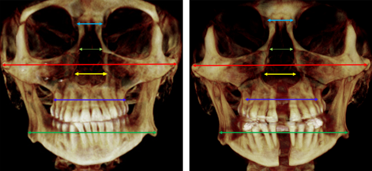
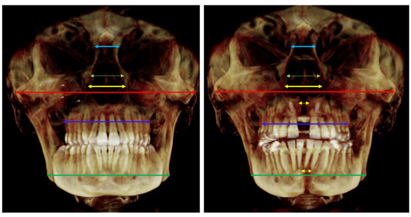
A combination of DAME and DANE

A combination of DAME and DANE
When enlarging total oral cavity volume to make room for the tongue, making the upper airway bigger, and ultimately resolving Obstructive Sleep Apnea, expanding the upper jaw on its own in some cases will not be enough. Especially for patients with extractions, we need to develop the upper jaw to correct the deficient jaws significantly. However, there are limitations to how much you can expand the upper jaw because, at some point, it will not match up with the lower jaw. Expanding only the upper jaw can cause unwanted aesthetic appearances such as a “balloon face,” where the upper jaw looks enlarged but the lower jaw and chin remain small. To get 5+mm of net expansion on the upper jaw, it is necessary to expand the lower jaw. This results in much better facial aesthetics and airway function.
The common misconception is that expanding the lower jaw can cause TMJ issues. This results from improperly expanding the lower jaw and forcing the condyles outward. Dr. Yousefian has utilized his patented mandibular expander to expand the lower jaw in hundreds of patients successfully without displacing the condyles, avoiding TMJ complications. In fact, in Dr. Yousefian’s DAME procedure, many patients suffering from lifelong TMJ/TMD issues find significant relief.
The DAME lower jaw expansion technology can predictably increase the lower jaw length by 2-5 mm


A combination of upper and lower jaw expansion. Both jaws are minimally longer without any advancement jaw surgery